УДК: 616.073.75-52
Роль компьютерной и магнитно-резонансной томографии в медицине 21 века
Аналитический обзор
С.К. Терновой, академик РАМН,, профессор
В.Е. Синицын,, профессор
Институт кардиологии РКНПК МЗСР РФ, Москва, 3-я Черепковская ул., д.15А, 121552
Ключевые слова: магнитно-резонансная томография (МРТ), МР-ангиография, лучевая диагностика, функциональная МРТ, контрастные средства
Key-words: magnetic resonance imaging (MRI), MR-angiography, radiology, functional MRI, contrast agents
Адрес для переписки: Валентин Евгеньевич Синицын, e-mail:
Введение
В настоящее время невозможно представить медицину без лучевой диагностики. В первые десятилетия ее развития использовались только проекционные методы – рентгенография, ангиография, планарная сцинтиграфия. Технический прогресс и появление компьютеров привело к развитию томографических методов, которые сегодня занимают ведущее место в лучевой диагностике. В первую очередь, это относится к рентгеновской компьютерной томографии и магнитно-резонансной томографии (МРТ). Развитие и становление этих методов произошло на наших глазах.
Состояние проблемы
Стартовой точкой развития методов лучевой диагностики стало появление компьютерной томографии (КТ) [3, 7]. Высказывается мнение, что создание КТ по своей значимости сопоставимо с открытием рентгеновских лучей. Первый экспериментальный КТ был, как известно, установлен в Лондоне в 1971 г. Он был создан инженером Годфри Хаунсфилдом (Godfrey Hounsfield), работавшем на звукозаписывающей компании ЭМИ (EMI).
Именно с этого периода началось триумфальное шествие томографических методов диагностики. Использование методов математического моделирования (метод обратных проекций и преобразование Фурье) стало доступно не только для рентгеновской томографии, но и для других видов томографий (радионуклидной, магнитно-резонансной, ультразвуковой). Эта особенность объединила современные методы лучевой диагностики, несмотря на то, что используются различные физические принципы и источники излучений.
Первые КТ были «шаговыми», т.е. система «трубка–детекторы» делала оборот в одну сторону и потом останавливалась (дальнейшее движение ограничивали высоковольтные кабели), при этом стол томографа перемещался на толщину среза. В 1989 г. это ограничение удалось преодолеть – появилась спиральная компьютерная томография (СКТ). При СКТ постоянно включенная рентгеновская трубка безостановочно вращается вокруг непрерывно движущегося стола. Изображение КТ стало объемным, что исключало риски пропустить мелкие патологические очаги или структуры. При традиционном методе КТ из-за разной глубины вдоха при задержке дыхания пациентом часто не удавалось фиксировать мелкие детали патологии. Кроме того, методика стала стандартизированной, т.е. применение жесткого протокола исследования гарантировало, что повторное исследование на любом другом аппарате даст идентичный результат. Это исключительно важно как для контроля динамики патологического процесса, так и для проведения скрининговых обследований.
С этого времени КТ стала применяться как универсальный метод диагностики. При СКТ появилась возможность быстро выполнять исследование в определенную фазу прохождения контрастного вещества через сосуды (артериальную, венозную), что привело к созданию новой методики - КТ-ангиографии.
В 1998 г. был сделан еще один шаг вперед в развитии этого метода - появились мультиспиральные КТ (МСКТ) [3]. Системы первого поколения могли выполнять одновременно 4 среза толщиной от 0,5 мм за один оборот трубки (длительность его равнялась 0,5 сек). В настоящее время КТ системы с 4-16 спиралями составляют основной парк томографов. В 2003-2004 гг. появились системы с 32-64 спиралями и временем оборота трубки, равным 0,3 сек, что позволяет говорить о таких приборах как по-настоящему объемных томографических системах. Следует отметить, что для подавляющего большинства клинических исследований системы с 4-8-16 рядами детекторов более чем достаточны. Так, у лучших 4-спиральных систем была достигнута изотропность объемных элементов изображений («вокселов»). Времена, когда при КТ получали лишь поперечные срезы, давно остались в прошлом. Сегодня спектр различных трехмерных реконструкций, получаемых при МСКТ, огромен. Более того, современные установки имеют возможности восстановления требуемых реконструкций в режиме реального времени, т.е. сразу – из «сырых» данных, минуя стадию переноса данных на рабочую станцию.
С 1984 г., до появления МСКТ, электронно-лучевая компьютерная томография (ЭЛТ) была практически единственной методикой КТ, позволявшей выполнять исследования сердца и коронарных артерий [8]. ЭЛТ обладала высоким временным разрешением (до 33 мс на срез) благодаря использованию уникальной технологии получения срезов без использования вращающейся рентгеновской трубки. Однако, в настоящее время, возможности МСКТ в исследовании сердца превзошли таковые ЭЛТ, что привело к прекращению производства подобных томографов. Однако не исключено, что идея ЭЛТ будет использована при создании новых моделей томографов.
Объемный сбор данных и высокая скорость получения срезов при МСКТ значительно расширили области использования КТ [11, 12]. Так, КТ-ангиография стала распространенным методом визуализации практически всех сосудов, особенно коронарных [2]. Появилась возможность за одно исследование получить изображение всего сосудистого русла человеческого тела (Рис.1).
Достоинства МСКТ получили широкое признание в онкологии. Помимо детальной анатомической информации, объемная томография, выполняемая в различные фазы прохождения контрастного препарата через исследуемый орган, позволяет лучше выявлять и характеризовать патологические очаги.
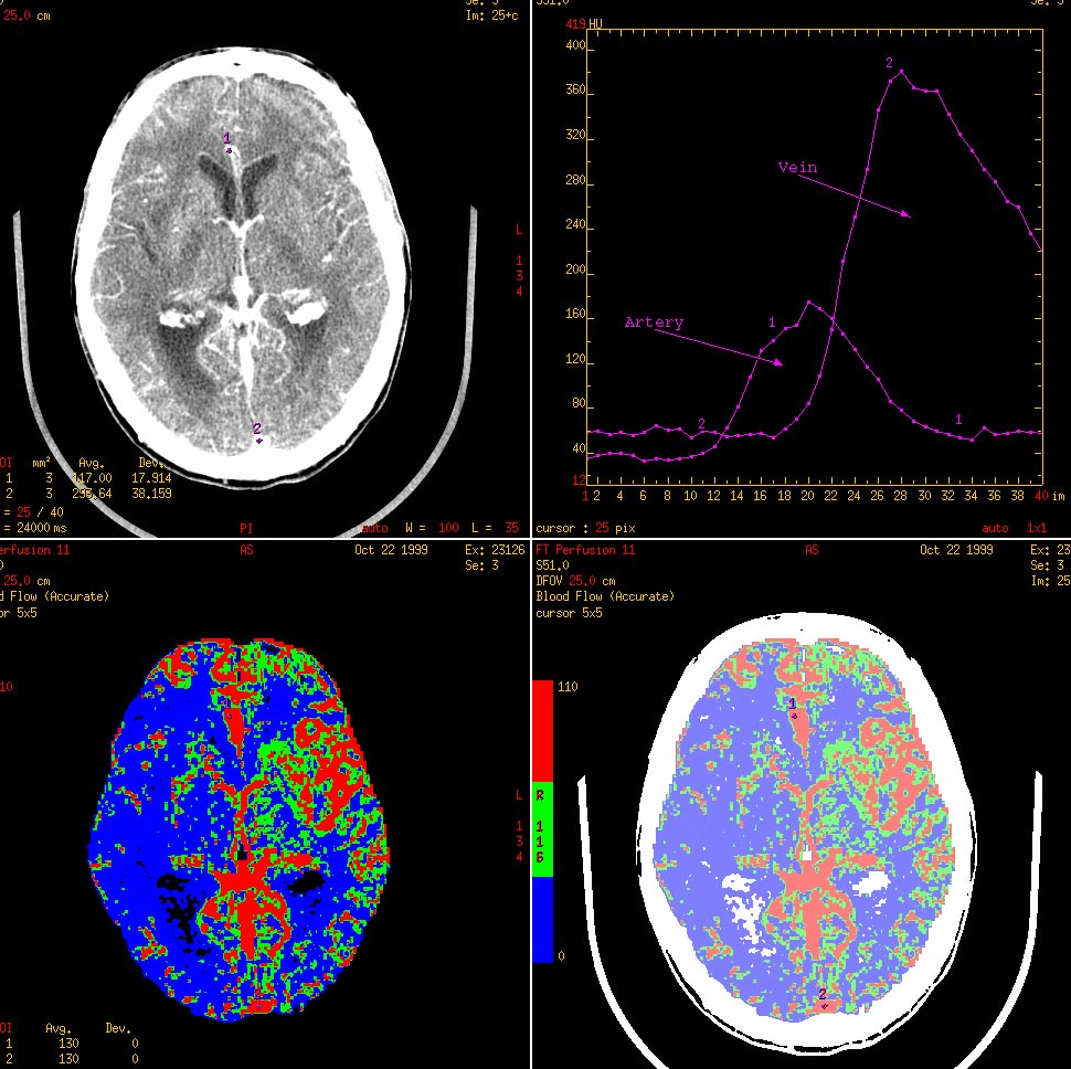
КТ стала одним из основных методов изучения перфузии головного мозга, что имеет большое значение при обследовании пациентов с острыми нарушениями мозгового кровообращения (Рис.2). МСКТ в сочетании со специальными методами трехмерной обработки изображений дает возможность получать изображения внутреннего просвета сосудов и состояния их и стенок как при эндоскопическом исследовании.
Появились методики виртуальной КТ-ангиоскопии, колоноскопии, бронхоскопии, пельвио- уретероскопии, цистоскопии, ларингоскопии и подобные им методы (Рис.3) [14]. Обсуждается целесообразность применения КТ-колоноскопии для скрининга рака толстой кишки, учитывая быстроту выполнения и необременительность этого исследования для пациентов.
В многочисленных клинических и лабораторных исследованиях было установлено, что микрокальцинаты в липидных бляшках можно обнаружить уже на ранних стадиях их развития. Используя опыт ЭЛТ, МСКТ стали использовать для скрининга коронарного атеросклероза [9]. Эта методика основывается на выявлении и стандартизованном количественном подсчете микрокальцинатов в атеросклеротических бляшках (Рис.4). Анализ результатов исследований проведенных в Институте кардиологии РКНПК МЗСР РФ и в ряде зарубежных публикаций показали, что использование ЭЛТ и МСКТ имеют высокие показатели чувствительности и специфичности для диагностики атеросклероза и ИБС для предсказания риска наличия гемодинамически значимых стенозов и будущих сердечно-сосудистых осложнений.
КТ существенно сокращает диагностический алгоритм, зачастую заменяя собой целую группу методов диагностики. Например, МСКТ стала незаменимым методом неотложной диагностики при травмах, переломах костей, нарушениях мозгового кровообращения, расслоениях аорты, тромбоэмболиях легочной артерии и других опасных для жизни состояний. Даже при неясном диагнозе МСКТ дает возможность за считанные минуты поставить правильный диагноз или определить направление диагностического поиска.
Таким образом, можно констатировать, что при КТ выполняется не исследование какого-либо органа, а решается определенная широкомасштабная диагностическая проблема какой-либо системы человеческого организма. Именно по этой причине многие производители КТ-оборудования стали создавать математические пакеты протоколов томографии под названиями «Нейро-КТ», «Кардио-КТ» и так далее.
Так как МСКТ дает возможность за считанные секунды выполнить томографию всего тела, несколько лет назад появилось новое направление скрининга – так называемая томография всего тела. Единственным ограничением к широкому внедрению этой методики являются опасения избыточной лучевой нагрузки. Однако, при использовании современных моделей КТ с технологиями ограничения лучевой нагрузки на организм, ее величина относительно невелика и даже при КТ всего тела она эквивалентна воздействию естественного фона радиации за период 1-2 года.
Ближайшие перспективы развития КТ достаточно очевидны. Появились МСКT с 2 трубками, что дало возможность улучшить временное разрешение до 83 мс на срез. Имеются сообщения о появлении 256-спиральных КТ и объемных КТ с плоскими детекторами [3]. Однако из-за проблемы той же лучевой нагрузки на организм, в ближайшие 2-3 года маловероятно, чтобы в клинической практике использовались срезы тоньше 0,5 мм. Кроме того, МСКТ по-прежнему уступает МРТ по мягкотканому разрешению. Возможно, что развитие двухэнергетической КТ позволит достичь прогресса и в этом направлении.
С практической точки зрения основное следствие достигнутого технического прогресса в области КТ – это рост числа покупаемых и устанавливаемых систем и повышение потребности в них. КТ стала одним из наиболее используемых в современной медицине лучевых методов диагностики. В России имеется уже более 1000 установок КТ различных конструкций, из них более 80 – мультиспиральные системы.
МРТ – еще один томографический метод, вошедший в арсенал радиологов вскоре после КТ. В 1983 г в мире появились первые единичные МР-системы серийного производства. В бывшем СССР были созданы экспериментальные образцы МР-томографов, а в конце 1984 г в Кардиологическом научном центре АМН СССР был установлен первый серийный томограф (BRUKER), поэтому в 2004 г отмечалось 20-летие развития метода в России. Подробнее с историей развития отечественной МРТ можно ознакомиться в книге П. Ринка [5].
В настоящее время в мире имеется более 30.000 МР-систем, поэтому МРТ уже нельзя рассматривать как «редкий» метод диагностики, например, только в России насчитывается более 300 МР-томографов различных конструкций. Рост числа МР-систем производимых в мире превышает 10% в год – это самые быстрые темпы развития в мире лучевой диагностики.
Существенно изменился технический парк МР-систем. Первые МР-системы были низкопольными – их магниты имели силу поля 0,02-0,35 Тесла (Тл). Потом, стараясь получить более сильный сигнал, производители сделали крен в сторону высокопольных (1,0-1,5 Тл) систем. В первую половину 90-х годов ХХ века качество изображений более экономичных низко - и среднепольных систем удалось существенно улучшить и их доля в числе установленных приборов стала увеличиваться. Анализ развития МРТ показывает, что в западных странах МРТ достигала трети от числа установленных систем, а в России превышала 90%.
Однако, со второй половины 90-х годов ХХ века стало очевидным, что полный спектр возможностей МРТ (МР-ангиография, исследования сердца, быстрая томография, исследования скорости кровотока, спектроскопия) в наибольшей степени могут быть реализованы только на высокопольных системах. Поэтому, в западных странах большинство новых МР-систем вновь стали составлять томографы с высоким полем (более 90% рынка). В России также в последние годы было установлено значительное количество высокопольных МР-систем. Существенно, что растет популярность систем с полем в 3 Тл (более 10% от числа новых систем), хотя их преимущества в клинической практике перед системами в 1,5 Тл пока не доказаны. Достоинства 3-тесловых МРТ (более дорогих, чем модели с меньшим полем) при исследованиях органов тела (сердца, печени, почек и других органов) пока не очевидны.
Конструктивно 3-тесловые МР-системы по своим габаритам сейчас сопоставимы с 1-1,5 Тл аппаратами. Но достоинства этих приборов не определяются линейной функцией силы магнитного поля. На сегодняшний день стало очевидным, что 3-тесловые МРТ имеют определенные преимущества при исследованиях головного мозга, выполнении спектроскопии, функциональной МРТ [13], трактографии, МР-ангиографии церебральных сосудов и при некоторых других видах специальных исследований. По этой причине большинство западных университетских центров покупают более дорогие 3-тесловые МРТ как вторые или третьи системы, на которых выполняются различные научные исследования. Для целей клинической диагностики высокого уровня «флагманами» по-прежнему остаются 1,5-тесловые томографы.
Для рутинной МРТ (исследования головного, спинного мозга, позвоночника, суставов и т.д.) в условиях ограниченного бюджета отечественного здравоохранения низко- и среднепольные МРТ, особенно с открытыми магнитами, являются для многих клиник разумным выбором. Поэтому при планировании закупки МРТ всегда должны учитываться реальные потребности лечебного учреждения в подобных исследованиях. В России существует ряд предприятий, производящих ограниченное количество отечественных моделей низкопольных МРТ. Эти МР-системы, к сожалению, уступают западным моделям с аналогичной силой поля, однако они могут, по крайней мере, с теоретической точки зрения модернизированы путем использования готовых блоков и комплектующих западных производителей и таким образом приспособлены для нужд первичного звена здравоохранения. Практически все низкопольные томографы производятся в виде систем с открытыми магнитами. Такой подход позволяет повысить комфорт пациента, уменьшить число случаев клаустрофобии, улучшить контроль за мониторингом жизненно важных функций организма и выполнять интервенционные вмешательства под контролем МРТ. В последние годы появились МР-системы с полем 0,7-1,0 Тл, имеющие открытые магниты. Высокопольные МРТ классической конструкции с туннельными магнитами также претерпели изменения. Были созданы системы с большим диаметром канала магнита - 70 см вместо традиционных 55 см. Это сопоставимо с диаметром гентри КТ. Имеются «нишевые», специализированные модели МР-приборов – компактные системы для исследований суставов, головного мозга, однако их доля на рынке МРТ невелика.
Существуют МР-системы и с более высоким полем – 7 Тл и 9 Тл, но они предназначены для выполнения специальных видов исследований и выпускаются в единичных экземплярах. Однако можно с уверенностью утверждать, что подобные приборы в обозримом будущем не будут использоваться для целей диагностики в клинических условиях.
Главные достижения в области МРТ за последние годы связаны с существенным увеличением скорости получения изображений и повышением пространственного разрешения. Прежде всего, это связано с увеличением силы градиентных полей в 3-5 раз по сравнению с томографами 10-летней давности. Сокращение времени TR («время-повторение») и TE («время-эхо») до нескольких миллисекунд позволило реализовать новые импульсные последовательности для МР-ангиографии, МР-исследований сердца, трехмерного сбора данных, функциональной МРТ, изучения перфузии. Новые конструкции матричных радиочастотных катушек дали возможность реализовать параллельный (одновременный) сбор данных от 2-4 областей исследуемого органа, в результате чего во столько же раз сокращается время исследования.
В настоящее время стало возможным выполнение МРТ в реальном масштабе времени (МР-флюороскопия), внедрение в практику быстрых МР-исследований, не требующих задержки дыхания пациентом.
В наиболее совершенных моделях томографов может подключаться одновременно практически неограниченное количество радиочастотных катушек, охватывающих все тело человека, что дает возможность за короткое время выполнять МРТ всего тела или МР-ангиографию всей сосудистой системы (при непрерывном движении стола).
По аналогии с УЗИ, были созданы внутриполостные (эндоректальные, эндовагинальные МР-катушки), с помощью которых удалось значительно увеличить пространственное разрешение при исследованиях органов малого таза и прямой кишки. Разработаны модели миниатюрных внутрисосудистых радиочастотных катушек. Они дают возможность детально изучать сосудистую стенку с помощью МРТ и даже проводить интервенционные вмешательства на артериях.
Высокая скорость получения изображений при МРТ, сочетающаяся с отсутствием лучевой нагрузки, сделала ее важнейшим методом оценки перфузии внутренних органов. Наиболее широкое клиническое применение нашли методы оценки перфузии головного мозга и миокарда с помощью МРТ. Однако имеется целый ряд публикаций по использованию МРТ для изучения перфузии печени, почек, мышц, молочной железы, предстательной железы и других органов.
Диагностические возможности МРТ значительно расширяются при использовании контрастных средств. В настоящее время используется большое число парамагнитных гадолиниевых контрастных средств общего назначения (в России зарегистрированы 4 препарата такого типа, а в Европе больше). Ожидается появление органоспецифических контрастных агентов. Первыми препаратами такого ряда стали средства для исследований печени – такие как Тесласкан, Примавист, Эндорем. Ведутся активные разработки внутрисосудистых контрастных средств (Вазовист).
Выводы
Соответственно новым возможностям МРТ, произошли огромные сдвиги в ее клиническом использовании. Утвердилась роль МРТ в основных сферах ее практического применения – исследованиях головного и спинного мозга, позвоночника и суставов [4]. На нее не повлияло даже появление мультиспиральной компьютерной томографии (МСКТ) или позитронно-эмиссионной томографии (ПЭТ). Например, сколько рядов детекторов – 4 или 256 – не имел бы компьютерный томограф, он никогда не сможет достичь такого же мягкотканого контрастного разрешения при исследованиях центральной нервной системы (ЦНС) как МРТ.
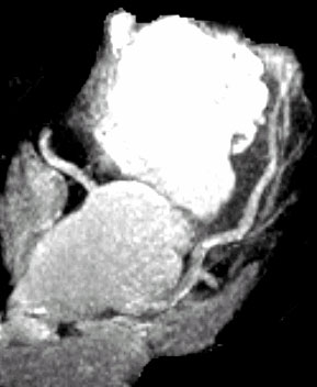
Но, помимо традиционных для МРТ показаний к использованию, метод прочно вошел и в новые для него области. МРТ сердца и сосудов сейчас стала одной из самых динамично развивающихся областей клинического применения метода, крайне интересующей как радиологов, так и кардиологов [1] (Рис.5). МР-маммография (Рис.6), как показали проведенные исследования, может быть высокоинформативным методом исследования молочных желез у определенных категорий женщин с имеющейся или предполагаемой патологией. Оказалось, что МРТ может успешно конкурировать с ПЭТ в выявлении метастатических поражений скелета. Клинический опыт показал, что МРТ существенно лучше, чем КТ при исследованиях внутренних и наружных половых органов у женщин и мужчин, в частности, при выявлении патологии предстательной железы и семенных пузырьков. Появились работы по применению МРТ для изучения паренхимы легких, тонкой и толстой кишки, желудка [10] – тех органов, в отношении которых еще 10-15 лет назад никто не мог предположить, что новый метод диагностики будет использоваться и для этих органов.
Произошли большие сдвиги в клиническом использовании МР-спектроскопии (МРС). Протонная МРС стала успешно применяться в нейрорадиологии для целей дифференциальной диагностики и характеризации воспалительных, метаболических и опухолевых поражений ЦНС. Успешным и оправданным с практической точки зрения оказалось использование МРС для диагностики рака предстательной железы в диагностически сложных случаях (Рис.7). Ведутся активные исследования в области МРС сердца, печени, костного мозга и молочной железы.
Таким образом, к настоящему времени МРТ – конечно же, наряду с КТ, УЗИ и радионуклидной диагностикой – стала методом, без которого немыслима современная радиология [6]. МР-системы дороже, чем приборы УЗИ и КТ, их сложнее устанавливать и обслуживать, поэтому их меньше в количественном соотношении. В то же время, при правильно выбранных показаниях к исследованию, МРТ может служить методом диагностики не второй, а первой линии, то есть быть единственным методом, который позволяет ответить на все клинические вопросы.
В заключении следует отметить, что оба томографических метода – КТ и МРТ – находятся на новом витке своего развития. Именно они определяют развитие современной диагностической радиологии.
Литература
- Беленков Ю.Н., Терновой С.К., Синицын В.Е. Магнитно-резонансная томография сердца и сосудов // М., Видар, 1997.
- Дадвани С.А., Терновой С.К., Синицын В.Е., Артюхина Е.Г. Неинвазивные методы диагностики в хирургии брюшной аорты и артерий нижних конечностей // М., Видар. 2000.
- Календер В. Основы рентгеновской компьютерной и магнитно-резонансной томографии. М., Техносфера, 2006.
- Коновалов А.Н., Корниенко В.Н., Пронин И.Н. "Магнитно-резонансная томография в нейрохирургии". //М., Видар, 1998.
- Ринк П.А. Магнитный резонанс в медицине // М., Геотар-Мед, 2003.
- Синицын В.Е., Терновой С.К. Магнитно-резонансная томография в новом столетии. // Радиология-практика 2005; 4: 17-22.
- Терновой С.К., Синицын В.Е. Развитие компьютерной томографии и прогресс лучевой диагностики // Радиология-практика 2005; 4: 23-29.
- Терновой С.К., Синицын В.Е. Спиральная компьютерная и электронно-лучевая томография. // М., Видар,1998.
- Терновой С.К., Синицын В.Е., Гагарина Н.В. Неинвазивная диагностика атеросклероза коронарных артерий // М., Атмосфера, 2003.
- Gourtsoyiannis N.C., Rosn P.R. Radiologic-Pathologic Correlations from Head to Toe. Understanding the Manifestations of Disease // Springer, Berlin, 2005.
- Jeremic B. Advances in Radiation Oncology in Lung Cancer // Springer, Berlin, 2005.
- Margulis A. Modern Imaging of the Alimentary Tube // Springer, Berlin, 1998.
- Moonen, C.T.W., Bandettini, P.A. Functional MRI. // Springer, Berlin, 1999.
- Prokop M. Spiral and Multislice Computed Tomography of the Body // Thieme, Berlin, 2003.
